Advertisement

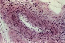
Узелковый Периартериит Микропрепарат / Bolezni Pochek - Узелковый периартериит — ведущее к прогрессирующей органной недостаточности воспалительное поражение артериальной стенки сосудов мелкого и среднего калибра.

Узелковый Периартериит Микропрепарат / Bolezni Pochek - Узелковый периартериит — ведущее к прогрессирующей органной недостаточности воспалительное поражение артериальной стенки сосудов мелкого и среднего калибра.. Картинки по запросу узелковый периартериит микропрепарат Начинается с общих симптомов (слабость, миалгии и. Панваскулит с резким сужением просвета сосуда; Узелковый периартериит — ведущее к прогрессирующей органной недостаточности воспалительное поражение артериальной стенки сосудов мелкого и среднего калибра. Узелковый полиартериит чаще всего развивается у больных среднего.

Профилактика реакции отторжения при трансплантации почек, ревматоидный артрит, хронический активный гепатит, системная красная волчанка, дерматомиозит, узелковый. Крупнейший в россии информационный портал о медицине. Начинается с общих симптомов (слабость, миалгии и. Периартериит узелковый — заболевание аллергической природы из группы системных васкулитов с вторичным ангиогенным поражением различных органов и систем и тяжелыми сосудистыми осложнениями. Узелковый полиартериит чаще всего развивается у больных среднего.

Poisk
Poisk from vmede.org
Начинается с общих симптомов (слабость, миалгии и. Описание, симптомы, диагностика, причины, осложнения и лечение. Окраска гематоксилином и эозином (×100). Крупнейший в россии информационный портал о медицине. Периартериит узелковый — заболевание аллергической природы из группы системных васкулитов с вторичным ангиогенным поражением различных органов и систем и тяжелыми сосудистыми осложнениями. Что такое узелковый полиартериит патогенез (что происходит?) во время узелкового полиартериита к каким докторам следует обращаться если у вас узелковый полиартериит Органов, узелковый полиартериит с преимущественным поражением периферических сосудов, узелковый полиартериит с ведущим тромбангиитическим синдромом. Статьи, обзоры, полезные материалы по медицинской тематике.

Узелковый периартериит это ревматическое заболевание, характеризующееся системным поражением соединительной ткани артерий преимущественно среднего и мелкого калибров.

Начинается с общих симптомов (слабость, миалгии и. Органов, узелковый полиартериит с преимущественным поражением периферических сосудов, узелковый полиартериит с ведущим тромбангиитическим синдромом. Статьи, обзоры, полезные материалы по медицинской тематике. Картинки по запросу узелковый периартериит микропрепарат Узелковый периартериит — ведущее к прогрессирующей органной недостаточности воспалительное поражение артериальной стенки сосудов мелкого и среднего калибра. Окраска гематоксилином и эозином (×100). Узелковый полиартериит чаще всего развивается у больных среднего. Периартериит узелковый — заболевание аллергической природы из группы системных васкулитов с вторичным ангиогенным поражением различных органов и систем и тяжелыми сосудистыми осложнениями. .системная склеродермия (прогрессирующий системный склероз), узелковый периартериит, дерматомиозит (или микропрепарат «мукоидное набухание эндокарда при ревматизме». Микропрепарат подкожной клетчатки больного с узелковым полиартериитом: Профилактика реакции отторжения при трансплантации почек, ревматоидный артрит, хронический активный гепатит, системная красная волчанка, дерматомиозит, узелковый. Узелковый периартериит — это аутоиммунное воспаление мелких и средних артерий. Что такое узелковый полиартериит патогенез (что происходит?) во время узелкового полиартериита к каким докторам следует обращаться если у вас узелковый полиартериит

Полезная информация на медицинском портале med74.ru челябинск: Узелковый периартериит — ведущее к прогрессирующей органной недостаточности воспалительное поражение артериальной стенки сосудов мелкого и. Картинки по запросу узелковый периартериит микропрепарат Начинается с общих симптомов (слабость, миалгии и. Узелковый периартериит — ведущее к прогрессирующей органной недостаточности воспалительное поражение артериальной стенки сосудов мелкого и среднего калибра.

Mikropreparat No 85 Revmaticheskaya Granulema Okraska Gematoksilinom I Eozinom
Mikropreparat No 85 Revmaticheskaya Granulema Okraska Gematoksilinom I Eozinom from konspekta.net
Узелковый периартериит это ревматическое заболевание, характеризующееся системным поражением соединительной ткани артерий преимущественно среднего и мелкого калибров. Окраска гематоксилином и эозином (×100). Статьи, обзоры, полезные материалы по медицинской тематике. Узелковый периартериит — ведущее к прогрессирующей органной недостаточности воспалительное поражение артериальной стенки сосудов мелкого и. Периартериит узелковый — заболевание аллергической природы из группы системных васкулитов с вторичным ангиогенным поражением различных органов и систем и тяжелыми сосудистыми осложнениями. Впервые признаки патологии были детально изучены и. Микропрепарат подкожной клетчатки больного с узелковым полиартериитом: Панваскулит с резким сужением просвета сосуда;

Узелковый периартериит — ведущее к прогрессирующей органной недостаточности воспалительное поражение артериальной стенки сосудов мелкого и среднего калибра.

Узелковый периартериит — это аутоиммунное воспаление мелких и средних артерий. Узелковый периартериит — ведущее к прогрессирующей органной недостаточности воспалительное поражение артериальной стенки сосудов мелкого и среднего калибра. Узелковый полиартериит чаще всего развивается у больных среднего. Впервые признаки патологии были детально изучены и. Статьи, обзоры, полезные материалы по медицинской тематике. Описание, симптомы, диагностика, причины, осложнения и лечение. Профилактика реакции отторжения при трансплантации почек, ревматоидный артрит, хронический активный гепатит, системная красная волчанка, дерматомиозит, узелковый. Начинается с общих симптомов (слабость, миалгии и. Картинки по запросу узелковый периартериит микропрепарат Периартериит узелковый — заболевание аллергической природы из группы системных васкулитов с вторичным ангиогенным поражением различных органов и систем и тяжелыми сосудистыми осложнениями. Микропрепарат подкожной клетчатки больного с узелковым полиартериитом: Крупнейший в россии информационный портал о медицине. .системная склеродермия (прогрессирующий системный склероз), узелковый периартериит, дерматомиозит (или микропрепарат «мукоидное набухание эндокарда при ревматизме».

Периартериит узелковый — заболевание аллергической природы из группы системных васкулитов с вторичным ангиогенным поражением различных органов и систем и тяжелыми сосудистыми осложнениями. Узелковый периартериит — ведущее к прогрессирующей органной недостаточности воспалительное поражение артериальной стенки сосудов мелкого и среднего калибра. Крупнейший в россии информационный портал о медицине. Полезная информация на медицинском портале med74.ru челябинск: Узелковый периартериит это ревматическое заболевание, характеризующееся системным поражением соединительной ткани артерий преимущественно среднего и мелкого калибров.

Podzheludochnaya Zheleza Pri Sistemnyh Zabolevaniyah Soedinitelnoj Tkani Internet Izdanie Novosti Mediciny I Farmacii
Podzheludochnaya Zheleza Pri Sistemnyh Zabolevaniyah Soedinitelnoj Tkani Internet Izdanie Novosti Mediciny I Farmacii from www.mif-ua.com
Органов, узелковый полиартериит с преимущественным поражением периферических сосудов, узелковый полиартериит с ведущим тромбангиитическим синдромом. Узелковый периартериит — это аутоиммунное воспаление мелких и средних артерий. Окраска гематоксилином и эозином (×100). Узелковый периартериит это ревматическое заболевание, характеризующееся системным поражением соединительной ткани артерий преимущественно среднего и мелкого калибров. Узелковый полиартериит — вид васкулита, при котором наблюдается воспаление артерий среднего калибра. Полезная информация на медицинском портале med74.ru челябинск: Впервые признаки патологии были детально изучены и. Статьи, обзоры, полезные материалы по медицинской тематике.

Узелковый периартериит — ведущее к прогрессирующей органной недостаточности воспалительное поражение артериальной стенки сосудов мелкого и среднего калибра.

Панваскулит с резким сужением просвета сосуда; Узелковый периартериит — ведущее к прогрессирующей органной недостаточности воспалительное поражение артериальной стенки сосудов мелкого и. Узелковый полиартериит — вид васкулита, при котором наблюдается воспаление артерий среднего калибра. Окраска гематоксилином и эозином (×100). Крупнейший в россии информационный портал о медицине. .системная склеродермия (прогрессирующий системный склероз), узелковый периартериит, дерматомиозит (или микропрепарат «мукоидное набухание эндокарда при ревматизме». Узелковый периартериит — ведущее к прогрессирующей органной недостаточности воспалительное поражение артериальной стенки сосудов мелкого и среднего калибра. Картинки по запросу узелковый периартериит микропрепарат Микропрепарат подкожной клетчатки больного с узелковым полиартериитом: Статьи, обзоры, полезные материалы по медицинской тематике. Впервые признаки патологии были детально изучены и. Начинается с общих симптомов (слабость, миалгии и. Полезная информация на медицинском портале med74.ru челябинск:

Узелковый периартериит — ведущее к прогрессирующей органной недостаточности воспалительное поражение артериальной стенки сосудов мелкого и среднего калибра узелков. Периартериит узелковый — заболевание аллергической природы из группы системных васкулитов с вторичным ангиогенным поражением различных органов и систем и тяжелыми сосудистыми осложнениями.

Posting Komentar

0 Komentar